Art

Trichilemmal Cyst Images

Trichilemmal Cyst Images
Trichilemmal Cyst Images

Trichilemmal cysts, also known as pilar cysts, are benign, keratin-filled cysts that typically develop on the scalp. These cysts are often painless and slow-growing, but they can become bothersome or even infected over time. Understanding trichilemmal cysts, their causes, symptoms, and treatment options is crucial for anyone dealing with these skin growths. This post will delve into the details of trichilemmal cysts, including how to identify them through trichilemmal cyst images, and provide a comprehensive guide on managing and treating these cysts.

Understanding Trichilemmal Cysts

Trichilemmal cysts are benign tumors that originate from the outer root sheath of the hair follicle. They are filled with keratin, a protein that makes up hair and nails. These cysts are usually found on the scalp but can also appear on other parts of the body, such as the face, neck, and upper body. Trichilemmal cysts are more common in women and often run in families, suggesting a genetic predisposition.

Causes of Trichilemmal Cysts

The exact cause of trichilemmal cysts is not fully understood, but several factors are believed to contribute to their development:

  • Genetic predisposition: A family history of trichilemmal cysts increases the likelihood of developing them.
  • Hormonal factors: Hormonal changes, particularly those related to estrogen, may play a role in the formation of these cysts.
  • Trauma or injury: Injury to the hair follicle can sometimes lead to the development of a trichilemmal cyst.

Symptoms of Trichilemmal Cysts

Trichilemmal cysts are typically painless and slow-growing. However, they can become symptomatic if they become infected or rupture. Common symptoms include:

  • A small, firm, round lump under the skin, usually on the scalp.
  • The lump may be mobile and can vary in size from a few millimeters to several centimeters.
  • In some cases, the cyst may become tender, red, or swollen if it becomes infected.
  • Rupture of the cyst can lead to the release of a cheesy, foul-smelling material.

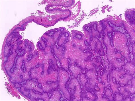
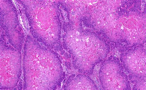
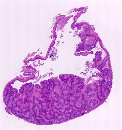
Identifying Trichilemmal Cysts Through Images

Trichilemmal cyst images are invaluable for identifying and diagnosing these cysts. These images can help healthcare providers and individuals recognize the characteristic appearance of trichilemmal cysts. Key features to look for in trichilemmal cyst images include:

  • A well-defined, round or oval lump under the skin.
  • A smooth, shiny surface that may be skin-colored or slightly yellowish.
  • No visible opening or pore on the surface of the cyst.
  • In some cases, the cyst may appear red or inflamed if infected.

Below is an example of what trichilemmal cyst images might look like:

Trichilemmal Cyst Images

Diagnosing Trichilemmal Cysts

Diagnosing trichilemmal cysts typically involves a physical examination and a review of the patient's medical history. In some cases, additional tests may be necessary to confirm the diagnosis:

  • Physical examination: A healthcare provider will examine the cyst and may ask about any symptoms or changes in the cyst over time.
  • Medical history: Information about family history, hormonal changes, and any recent injuries or trauma to the area can help in diagnosing trichilemmal cysts.
  • Biopsy: In some cases, a small sample of the cyst may be removed and examined under a microscope to confirm the diagnosis.

Treatment Options for Trichilemmal Cysts

Treatment for trichilemmal cysts depends on the size, location, and symptoms of the cyst. Common treatment options include:

  • Observation: Small, asymptomatic cysts may not require treatment and can be monitored over time.
  • Surgical excision: Larger or symptomatic cysts may be surgically removed. This procedure is typically performed under local anesthesia and involves making an incision to remove the entire cyst.
  • Drainage: In cases of infection, the cyst may be drained to relieve symptoms. However, drainage alone is not a cure and the cyst may recur.
  • Laser therapy: In some cases, laser therapy may be used to destroy the cyst and prevent recurrence.

Below is a table summarizing the treatment options for trichilemmal cysts:

Treatment Option Description Indications
Observation Monitoring the cyst over time Small, asymptomatic cysts
Surgical Excision Removal of the entire cyst Larger or symptomatic cysts
Drainage Relieving symptoms by draining the cyst Infected cysts
Laser Therapy Destroying the cyst with laser Preventing recurrence

📝 Note: It is important to consult with a healthcare provider to determine the best treatment option for trichilemmal cysts. Early intervention can prevent complications and improve outcomes.

Preventing Trichilemmal Cysts

While there is no guaranteed way to prevent trichilemmal cysts, certain measures can help reduce the risk of developing them:

  • Avoiding trauma or injury to the scalp and hair follicles.
  • Maintaining good skin hygiene to prevent infections.
  • Regularly monitoring any existing cysts for changes in size or symptoms.

Trichilemmal cysts are generally benign and can be managed effectively with proper treatment. Early detection and intervention are key to preventing complications and ensuring the best possible outcomes.

In summary, trichilemmal cysts are common, benign growths that can be identified through trichilemmal cyst images and managed with various treatment options. Understanding the causes, symptoms, and treatment of these cysts is essential for anyone dealing with them. Regular monitoring and prompt intervention can help prevent complications and improve overall skin health.

Related Terms:

  • trichilemmal cyst vs sebaceous
  • trichilemmal cyst nhs
  • trichilemmal cyst vs epidermoid
  • trichilemmal cyst other names
  • pilar cysts pictures
  • trichilemmal cyst vs pilomatricoma
Facebook Twitter WhatsApp
Related Posts
Don't Miss